Implantologie ReutlingenImplantologie ReutlingenImplantologie ReutlingenImplantologie ReutlingenImplantologie Reutlingen
 

Ästhetische Zahnheilkunde

 

Gepflegte und schöne Zähne sind die Visitenkarte eines jeden Menschen. Aus der Nähe schaut jeder seinem Gegenüber zunächst zwar kurz in die Augen, aber unmittelbar danach auch unbewußt sofort auf den Mund, die Lippen und die Zähne. Schöne Zähne sind heute assoziiert mit den Begriffen Attraktivität, Erfolg, Gesundheit und Jugend. Schöne Zähne haben einen hohen Stellenwert bei der sozialen Akzeptanz und so sollte der Wunsch nach größerer Attraktivität nicht abwertend als bloße Eitelkeit abgetan werden.

Eine ästhetische Zahnbehandlung, die schöne Zähne zum Ergebnis hat, verbessert also nicht nur das Aussehen eines Menschen, sondern kann seine Selbstsicherheit und sein Selbstwertgefühl stärken. Um das Empfinden von Schönheit und perfekter Proportion beim Betrachter zu bewirken, muss eine Komposition von vielen Faktoren stimmig aufeinander treffen. Zahnfarbe, Zahnform, Zahnstellung, die Farbe des Zahnfleisches, der Verlauf des Zahnfleisches, die Form von Ober- und Unterlippe, die Form von Ober- und Unterkiefer, das Ausmaß von entblößten Zähnen und Zahnfleisch beim Lächeln und Lachen, die Form des Gesichts und letztendlich sogar die Proportion verschiedener Gesichtspartien zueinander... alle diese Faktoren und noch viele mehr beeinflussen den Ausdruck von Schönheit.

In unserer Praxis widmen wir uns dieser ästhetischen Komponente im Besonderen. Das Aufhellen der natürlichen Zähne, genannt Bleaching, aber auch vollkeramische Schalen (Veneers) oder Glaskeramikinlays erfüllen den individuellen Wunsch des Patienten nach medizinischer dauerhafter Versorgung und natürlich schönem Aussehen.

Bleaching

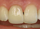
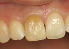
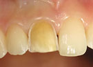
Der Wunsch nach strahlend weißen gleichmäßigen Zähnen, der besonders in der Werbung von allen Medien geschürt wird, hat sich fest in der modernen Gesellschaft etabliert. Schöne helle Zähne fallen auf und lösen einen positiven optischen Eindruck aus, der mit einer angenehmen persönlichen Ausstrahlung in Verbindung gebracht wird. Zahnverfärbungen besonders im Frontzahnbereich können für den Patienten eine erhebliche ästhetische Beeinträchtigung darstellen. Der Grund für diese Verfärbungen kann unterschiedlichste Ursachen haben und sowie einzelne als auch mehrere bzw. alle Zähne betreffen. Die Farbveränderungen können ihre Ursache in grundsätzlich genetischen Störungen haben oder in Störungen während der Zahnentwicklung (z.B. durch die Einnahme bestimmter Medikamente), sie können durch Wurzelbehandlungen und als Folge eines Traumas auftreten oder aufgrund von Alterungsprozessen und die Einlagerung von Farbpigmenten deutlich werden.

Der Wunsch nach einer ästhetischen Verbesserung durch das Bleichen von Zähnen läßt sich heute erfolgreich realisieren. Allerdings muß vor Selbstversuchen ohne zahnärztliche Überwachung ausdrücklich gewarnt werden.

Grundsätzlich unterscheiden wir zwei Techniken des Bleichens:

1. Das „Interne Bleichen“ eines devitalen, toten Zahnes. Hierbei entfernt der Zahnarzt kariöses und stark verfärbtes Dentin aus dem Bereich der Inneren Zahnkrone um dann eine bleichende Paste in den Zahn einzubringen. Diese verbleibt dann für ca. eine Woche im Zahn. Die Behandlung kann bis zum Erreichen des gewünschten Farbergebnisses wiederholt werden.

2. Das kontrollierte Bleichen in der Praxis oder zu Hause mittels individuell angefertigter wiederverwendbarer Schienen, die als Träger für das Bleichmittel dienen. Grundsätzlich müssen die Zähne vor dieser Anwendung gründlich gereinigt sein und es sollten keine Randspalten oder gar Karies an vorhandenen Füllungen, Inlays oder Kronen vorhanden sein. Das Verfahren gilt als wissenschaftlich unbedenklich und sicher, kann aber in einigen Fällen zu vorübergehenden Überempfindlichkeiten an den Zähnen führen.

Zahnheilkunde Reutlingen Zahnheilkunde Reutlingen Zahnheilkunde Reutlingen